Lip / Tongue Tie Treatment

Lip & Tongue Tie Treatment for Improved Comfort and Development

A lip or tongue tie occurs when the small piece of tissue connecting the lip or tongue to nearby structures is too short, thick, or restrictive. For infants and young children, these tight bands can interfere with feeding, speech development, oral function, and long-term dental health.

Our office evaluates and treats lip and tongue ties using a gentle, precise carbon dioxide LightScalpel laser. This advanced, minimally invasive technology allows us to release restrictive tissue comfortably, quickly, and with excellent healing outcomes—helping children thrive from infancy through childhood.

👅 What a Lip or Tongue Tie Is

The frenum is a naturally occurring band of tissue found under the upper lip (labial frenum) and beneath the tongue (lingual frenum). When these tissues are overly tight or positioned too close to the gums or tongue tip, they restrict normal movement—this is known as a tie.

These restrictions can vary from mild to severe and may affect how a child feeds, speaks, swallows, or maintains oral hygiene. Early evaluation is key to ensuring proper growth, comfort, and function.

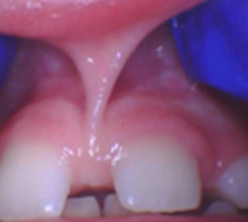
Frenectomy: Before and After

Tiny Trips Pediatric Dentistry | Lip   Tongue Tie Treatment, Extractions and Exams   Cleanings
Tiny Trips Pediatric Dentistry | Space Maintainers, Pulp Therapy and Sleep Dentistry
Tiny Trips Pediatric Dentistry | Sleep Dentistry, Exams   Cleanings and Pediatric Dental Emergencies
Tiny Trips Pediatric Dentistry | Dental Sealants, Pediatric Dental Emergencies and Fluoride Treatments
Tiny Trips Pediatric Dentistry | Extractions, Lip   Tongue Tie Treatment and Sleep Dentistry
Tiny Trips Pediatric Dentistry | Extractions, Pediatric Dental Emergencies and Exams   Cleanings

Understanding Lip & Tongue Ties:

  • Lip Tie

    A restrictive upper lip frenum may prevent the lip from flanging outward during feeding, contributing to poor latch, air intake, or difficulty maintaining suction.

  • Tongue Tie

    An overly tight lingual frenum limits the tongue’s ability to lift, extend, or move freely—affecting feeding, swallowing, speech sounds, and oral mobility.

  • Why This Matters

    When normal lip or tongue movement is restricted, a child may experience challenges that extend beyond infancy, impacting speech clarity, dental alignment, sleep, and overall comfort.

✨ How Lip & Tongue Ties Affect Children

A lip or tongue tie can influence how a child eats, speaks, breathes, and develops oral habits. In infants, restricted movement may make breastfeeding or bottle-feeding difficult, often resulting in issues such as poor latch, inadequate suction, prolonged feeding sessions, gassiness, or maternal discomfort. These challenges can be emotionally stressful for families and may affect a baby's ability to gain weight comfortably.

As children grow older, the effects can become more noticeable in areas such as speech and oral motor function. Limited tongue elevation or extension can make certain sounds harder to pronounce, impact chewing and swallowing efficiency, and contribute to frustration during eating. Some children may also develop compensatory habits to work around the restriction, which can influence long-term oral development.

Dental and orthodontic concerns may also arise. A tight upper lip frenum can contribute to spacing or irritation along the gumline, while a restrictive tongue may influence tongue posture, jaw development, and even sleep-related breathing patterns. Identifying these concerns early allows us to support a child’s comfort, oral function, and long-term growth.

How a Frenectomy Helps

A frenectomy is a simple procedure that releases the restrictive frenum, allowing for natural movement of the lip or tongue. At our practice, we use a LightScalpel carbon dioxide laser—a modern, minimally invasive tool designed for precision and comfort.

  • Gentle Laser Release

    The laser precisely removes the tight tissue with minimal discomfort, no need for stitches, and very little bleeding.

  • Faster, More Comfortable Healing

    CO₂ laser technology minimizes inflammation and promotes quicker recovery. Most children experience immediate improvement in movement.

  • Improved Oral Function

    Following release, many infants show better latch and feeding, while older children benefit from enhanced speech, swallowing, and tongue mobility.

Why Our Technique Stands Out

Dr. Jian uses a calm, gentle approach designed to help both children and parents feel at ease. He explains each step thoroughly, reassures families throughout the process, and performs every frenectomy with precision and care. His technique—combined with the safety and efficiency of the LightScalpel laser—helps ensure excellent results and a smooth, positive experience.

If you have concerns about lip or tongue ties or would like to know whether your child may benefit from a frenectomy, we welcome your questions. Our team is here to guide you every step of the way.

Relief, comfort, and improved function are possible with gentle laser frenectomy treatment.

Schedule a Lip & Tongue Tie Consultation

Early treatment supports healthy feeding, breathing, and speech development.

More About Tiny Trips

Begin Your Journey Today

Get In Touch With Tiny Trips

We'd love to hear from you

Our Hours

Monday
Closed
Tuesday
Closed
Wednesday
Closed
Thursday
Closed
Friday
Closed
Saturday
9:00 am - 4:00 pm
Sunday
Closed